Что входит в профессиональную чистку зубов по скидке
Специалист осуществляет первичный прием с осмотром текущего состояния ротовой полости, после проведения профессиональной чистки, врач дает рекомендации по поддержанию результата.
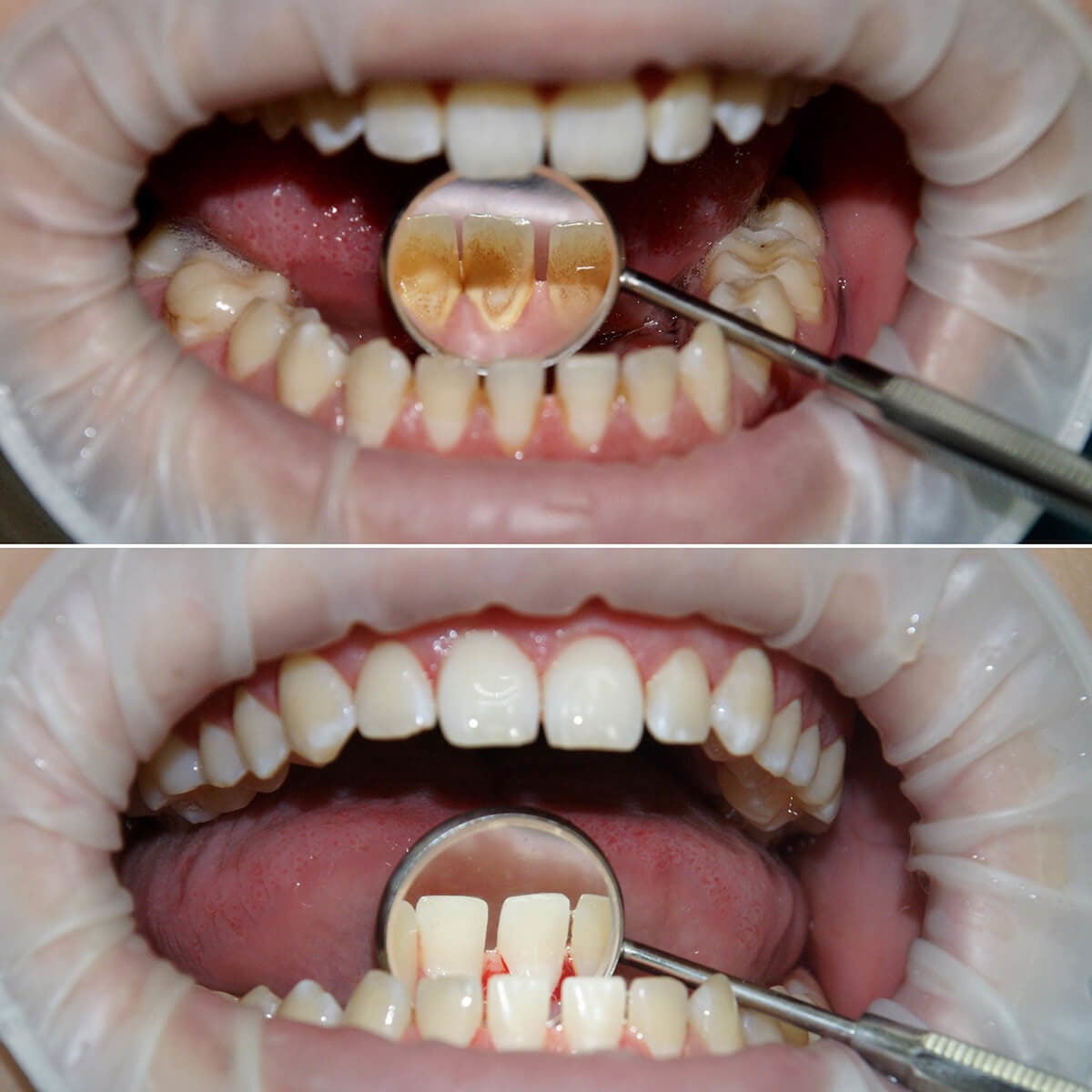
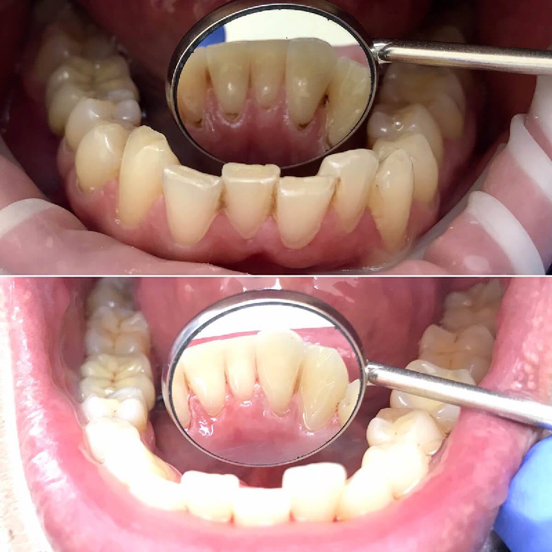
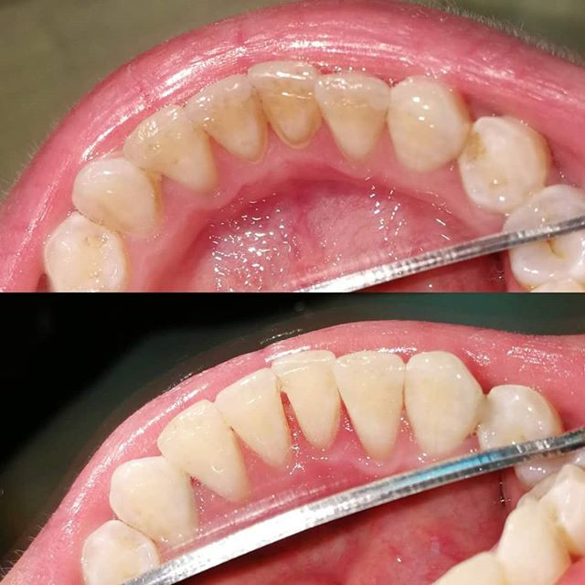
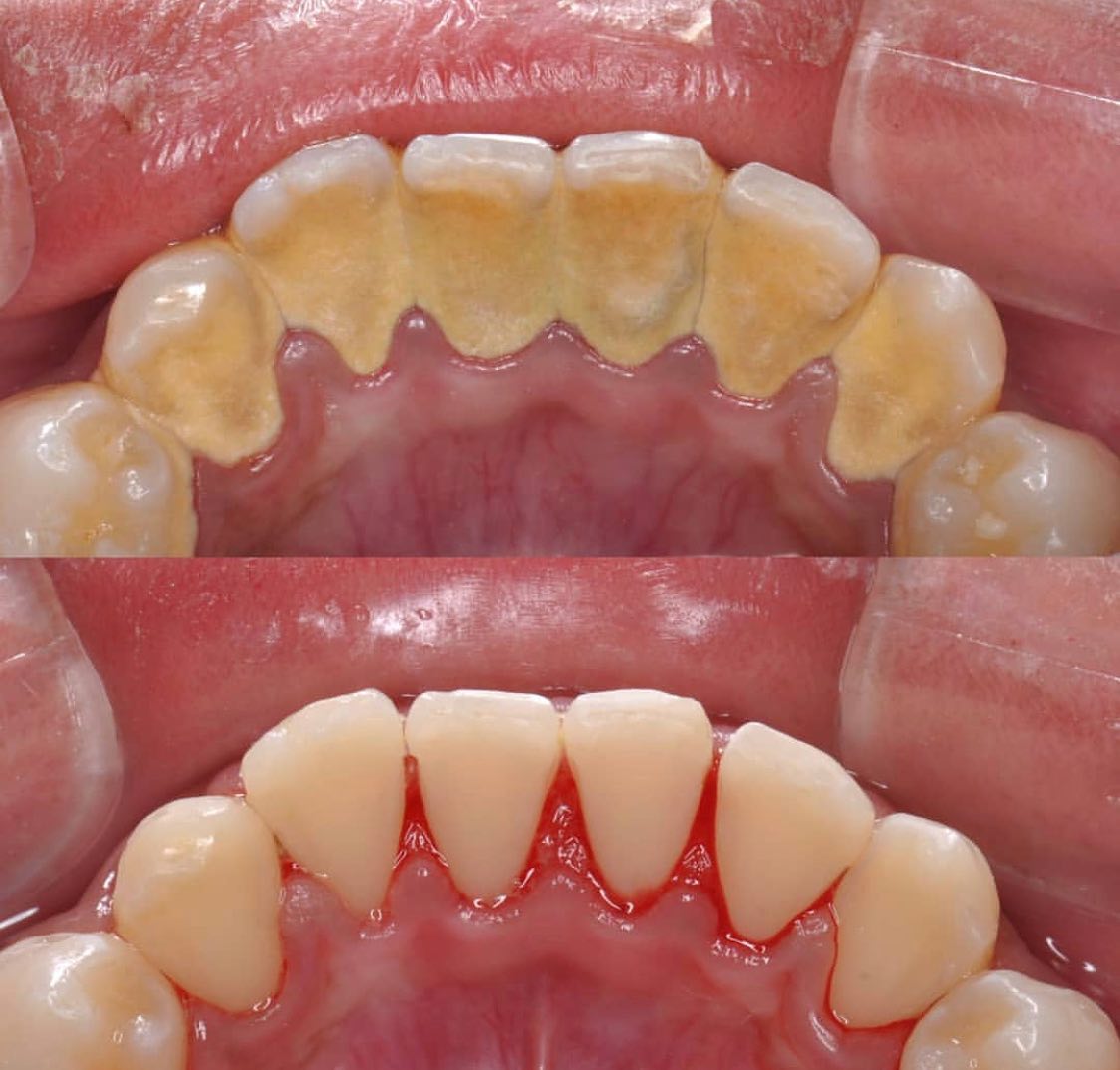
Ультразвуковая чистка зубов – снятие твердых отложений (камней) с помощью ультразвукового скейлера. Зубной камень, минерализованный бактериальный налет невозможно удалить в домашних условиях, даже самой жесткой щеткой.
Процедура избавляет от твердого налета и камня, также от коричневых и черных пятен от чая и кофе.
Происходит бережное снятие зубных отложений без повреждения эмали. При высокой чувствительности зубов, возможно использование аппликационной анестезии.
Процедура эффективно устраняет налет и осветляет зубную эмаль на пару тонов.
Давление регулируется, благодаря чему очистить можно не только поверхность зуба, но и проникнуть в труднодоступные места ротовой полости.
Мы используем порошок Air Flow швейцарского производителя EMS с противовоспалительном действием.
Полировка зубов нужна для выравнивания поверхности, в частности для удаления отложений твердого камня, разглаживания трещин на поверхностях и мелких пор. Этап включает нанесение выравнивающей пасты на основе минералов швейцарской компании Kerr Hawe.
Эффект от полировки заметен сразу – зубы становятся крепче, их гладкую поверхность приятно ощущать во рту, исчезает неприятный запах изо рта.
Полировка качественными материалами придает зеркальный блеск и гладкость как естественным тканям зубов, так и реставрациям из композитов и металлов.
Процедура сглаживает границы между дентином (десной) и пломбой (имплантом) и таким образом укрепляет зубную эмаль, защищает от кариеса и разрушений, фиксирует результаты санации.
Процедура заключается в нанесении на зубы специального геля, содержащего фтор. Гель проникает в поры эмали и укрепляет ее, делая зубы более стойкими к кариесу и другим заболеваниям полости рта. Эффект от процедуры сохраняется до 6 месяцев.
Изоляционная система Optragate
Оптрагейт — это силиконовая прокладка, которая используется для изоляции зубов во время проведения лечения. Он помогает защитить зубы от слюны и других жидкостей во время работы стоматолога, что позволяет повысить качество лечения и сократить время проведения процедуры.
Как записаться на профессиональную чистку зубов в «ЛигайМед»
Вы можете пройти профессиональную чистку зубов в «ЛигайМед» в Санкт-Петербурге. Мы находимся в трех минутах от ст. м. Чкаловская.
Записаться на комплексную чистку зубов можно по телефону +78127791533. Также вы можете оставить заявку на сайте. Наш администратор свяжется с вами в ближайшее время.
Результат профессиональной чистки зубов у нас – превосходный внешний вид и здоровье зубов!
*При наличии брекет-системы + 1000 р. к стоимости комплексной гигиены полости рта
*Стоимость по акции доступна для пациентов, которые у нас впервые.
